診療科・センター・部門
- ホーム
- 診療科・センター・部門
- 消化器外科
消化器外科
概要・特徴
当科は外科一般、消化器外科疾患のすべてを対象に診療を行っており、現在日本で行われている標準治療を安全確実に実行することを第1の目標にしています。日本外科学会、日本消化器外科学会、日本癌治療学会等の専門医および指導医を擁しており、修練施設となっています。
当院では消化器一般外科、呼吸器外科、心臓血管外科をあえてひとくくりの外科として運営しており、淡路島の基幹病院として、またがん診療拠点病院として、他院で治療困難な多領域にまたがる高度進行悪性腫瘍手術も多数施行しています。消化器外科領域の癌において、近年は抗がん剤治療や放射線治療が進歩により、以前なら手術で完全に取りきることができなかった進行癌が、これらの治療後に切除可能となる例も増加してきました。ただ、このような癌ではたびたび拡大手術が必要となります。当科では、様々な診療科と連携して、これら進行した癌の完全切除に取り組んでいます。
膵臓癌は従来進行した症例がおおく、生存率の低い疾患として有名でありますが、最近では抗がん剤治療の後に手術が行える症例も増えてきております。この場合膵臓の背部を走行する門脈という血管を一緒に切除する場合もありますが、当科では心臓血管外科とともに手術を行って門脈を再建しています。
門脈再建術
また、診断技術の進歩により、胃の早期癌や間葉系腫瘍に代表される比較的小型で予後の良好な悪性疾患の発見も増加しています。以前であればこのような場合、開腹手術により胃の大きな切除が行われてきましたが、最近では腹腔鏡手術という極めて傷の小さな手術を行ったり、消化器内科と共同して腹腔鏡・内視鏡合同手術(LECS)という胃の機能温存手術を行っています。
腹腔鏡・内視鏡合同手術
当院には救命センターが併設されており、腹部救急疾患や外傷への対応は外科医が中心となって行っています。このため年間手術症例の約3分の1は緊急手術症例となっており、日本腹部救急医学会の認定施設となっています。
腹部救急領域においても、診療科横断治療を積極的に行っています。
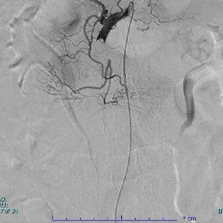
例えば腸管に血液を供給する上腸間膜動脈という血管が血液の塊(血栓)や狭窄によって閉塞し、腸管が壊死する病気があります。このような病気では、壊死した腸管が多くなると、たとえ手術で壊死した腸管を切除しても長期間生存することはできません。当科では術中もしくは術前に放射線科と協力し動脈の中にある血栓を回収したり、血管の狭い部分を広げたりする事で壊死する腸管を少なくする治療を行っています。
術中血栓吸引療法
診療実績
2018年1月1日から2023年12月31日までの手術症例数
| 2018 | 2019 | 2020 | 2021 | 2022 | 2023 | ||||
| 上部消化管疾患 | 食道疾患 | 8 | 4 | 6 | 10 | 1 | 5 | ||
| 食道癌 | 開胸開腹 | 3 | 1 | 0 | 1 | 1 | |||
| 鏡視下食道切除 | 0 | 1 | 5 | 5 | |||||
| 食道裂孔ヘルニア | 3 | 0 | 3 | 1 | 1 | 1 | |||
| その他 | 2 | 2 | 1 | 3 | 3 | ||||
| 胃十二指腸疾患 | 83 | 83 | 68 | 54 | 44 | 50 | |||
| 胃癌 | 鏡視下手術 | 幽門側胃切除 | 13 | 12 | 13 | 10 | 8 | 9 | |
| 胃全摘 | 4 | 5 | 4 | 1 | 1 | 1 | |||
| 噴門側胃切除 | 1 | 1 | 1 | 1 | 2 | 2 | |||
| 幽門温存胃切除 | 0 | 1 | 0 | 0 | 1 | 0 | |||
| バイパス手術 | 0 | 3 | 0 | 0 | 0 | 0 | |||
| 他 | 0 | 3 | 0 | 2 | 1 | 0 | |||
| 開腹手術 | 幽門側胃切除 | 19 | 18 | 11 | 7 | 5 | 14 | ||
| 胃全摘 | 22 | 15 | 17 | 13 | 5 | 5 | |||
| 噴門側胃切除 | 3 | 0 | 1 | 1 | 0 | 1 | |||
| バイパス手術 | 4 | 3 | 1 | 1 | 0 | 1 | |||
| 他 | 2 | 0 | 3 | 1 | 1 | 1 | |||
| 胃SMT | 腹腔鏡内視鏡合同手術 | 6 | 7 | 3 | 3 | 4 | 3 | ||
| 開腹手術 | 0 | 2 | 0 | 5 | 1 | 2 | |||
| 穿孔性十二指腸潰瘍 | 鏡視下手術 | 6 | 6 | 8 | 5 | 5 | 0 | ||
| 開腹手術 | 0 | 3 | 0 | 4 | 4 | 5 | |||
| 十二指腸癌 | 腹腔鏡内視鏡合同手術 | 1 | 1 | 0 | 0 | 1 | 0 | ||
| 膵頭十二指腸切除 | 1 | 2 | 1 | 0 | 0 | 2 | |||
| 他 | 0 | 0 | 1 | 0 | 0 | 1 | |||
| 十二指腸GIST | 腹腔鏡内視鏡合同手術 | 0 | 1 | 1 | 0 | 0 | 0 | ||
| 膵頭十二指腸切除 | 0 | 2 | 1 | 0 | 0 | 0 | |||
| その他 | 1 | 1 | 2 | 0 | 5 | 3 | |||
| 2018 | 2019 | 2020 | 2021 | 2022 | 2023 | |||
| 下部消化管疾患 | 結腸疾患 | 87 | 99 | 73 | 62 | 71 | 85 | |
| 結腸癌 | 鏡視下手術 | 35 | 25 | 23 | 7 | 22 | 20 | |
| 開腹手術 | 41 | 53 | 43 | 40 | 43 | 56 | ||
| 壊死・穿孔 | 9 | 12 | 3 | 12 | 4 | 8 | ||
| 捻転 | 2 | 9 | 4 | 3 | 2 | 1 | ||
| 直腸肛門疾患 | 66 | 62 | 57 | 60 | 50 | 60 | ||
| 直腸・肛門管癌 | 鏡視下手術 | 12 | 9 | 12 | 18 | 10 | 18 | |
| 開腹手術 | 18 | 25 | 21 | 14 | 15 | 16 | ||
| 直腸脱 | 鏡視下手術 | 1 | 2 | 2 | 1 | 3 | 4 | |
| 開腹手術 | 3 | 1 | 0 | 1 | 1 | 0 | ||
| Gant-Miwa-Thiersh | 2 | 6 | 2 | 3 | 1 | 3 | ||
| 痔瘻・肛門周囲膿瘍 | 11 | 6 | 6 | 6 | 5 | 6 | ||
| 痔核・肛門ポリープ | 15 | 10 | 8 | 11 | 7 | 11 | ||
| その他 | 4 | 3 | 6 | 6 | 8 | 2 | ||
| 小腸疾患 | 52 | 52 | 43 | 27 | 41 | 41 | ||
| 小腸閉塞 | 36 | 41 | 37 | 26 | 33 | 31 | ||
| その他 | 16 | 11 | 6 | 1 | 8 | 10 | ||
| 虫垂炎 | 59 | 49 | 66 | 64 | 56 | 62 | ||
| 虫垂炎 | 鏡視下手術 | 49 | 38 | 61 | 49 | 50 | 60 | |
| 開腹手術 | 10 | 11 | 5 | 15 | 6 | 2 | ||
| 人工肛門造設 | 6 | 6 | 9 | 5 | 20 | 13 | ||
| 人工肛門閉鎖 | 8 | 12 | 6 | 14 | 10 | 4 | ||
| 2018 | 2019 | 2020 | 2021 | 2022 | 2023 | |||
| 肝胆膵疾患 | 肝疾患 | 10 | 13 | 12 | 11 | 8 | 15 | |
| 原発性肝癌 | 鏡視下手術 | 0 | 4 | 1 | 1 | 0 | 0 | |
| 開腹手術 | 2 | 3 | 5 | 5 | 3 | 10 | ||
| 転移性肝癌 | 鏡視下手術 | 0 | 3 | 1 | 0 | 2 | 0 | |
| 開腹手術 | 8 | 3 | 3 | 3 | 3 | 2 | ||
| その他 | 0 | 0 | 2 | 2 | 0 | 3 | ||
| 膵疾患 | 11 | 13 | 22 | 23 | 24 | 15 | ||
| 膵癌 | 膵頭十二指腸切除 | 4 | 6 | 7 | 6 | 11 | 10 | |
| 膵体尾部切除 | 3 | 4 | 15 | 11 | 6 | 5 | ||
| バイパス手術 | 2 | 0 | 0 | 3 | 2 | 0 | ||
| 他 | 1 | 3 | 2 | 2 | 3 | 0 | ||
| 膵嚢胞 | 嚢胞消化管吻合 | 1 | 0 | 0 | 1 | 2 | 0 | |
| 胆道疾患 | 157 | 124 | 109 | 95 | 115 | 134 | ||
| 胆石症等 | 鏡視下手術 | 144 | 109 | 92 | 75 | 102 | 113 | |
| 開腹手術 | 2 | 1 | 12 | 11 | 10 | 7 | ||
| 胆管癌 | 膵頭十二指腸切除 | 2 | 4 | 2 | 1 | 0 | 5 | |
| その他 | 2 | 1 | 0 | 0 | 0 | 3 | ||
| 胆嚢癌 | 肝床切除 | 9 | 4 | 2 | 3 | 0 | 2 | |
| 他 | 0 | 5 | 1 | 3 | 3 | 4 | ||
| ヘルニアなど | ヘルニア | 146 | 145 | 111 | 102 | 98 | 137 | |
| 鼠径部 | 118 | 126 | 91 | 93 | 66 | 102 | ||
| 腹壁瘢痕 | 20 | 10 | 13 | 2 | 8 | 18 | ||
| 際 | 5 | 1 | 1 | 2 | 5 | 3 | ||
| 閉鎖孔 | 2 | 4 | 0 | 3 | 4 | 4 | ||
| その他 | 0 | 4 | 6 | 2 | 15 | 10 | ||
| 乳がん | 7 | 10 | 16 | 8 | 6 | 6 | ||
| その他 | 31 | 12 | 12 | 4 | 15 | 11 | ||




